DRA. SAIDA URIBE ROBLES,
ESPECIALISTA EN
PERIODONCIA E IMPLANTE
en Tepic, Nayarit.
Para la doctora
DRA. SAIDA URIBE ROBLES, especialista en
periodoncia e
implantes, lo más importante es la salud bucal. Doy el mejor tratamiento posible personalizado y adaptado a las necesidades y deseos de cada paciente.
Soy una
doctora con
más de 9 años de experiencia, en la preparación y capacitación en el área de periodoncia e implantes, por lo que trabajo en conjunto con otras áreas de especialidades dentales para ofrecer un
tratamiento integral.
Me caracteriza la simpatía, el buen trato y la búsqueda de los mejores tratamientos para mis pacientes. En conjunto con instalaciones que están pensadas para brindar un ambiente cómodo, tranquilo y relajado durante su visita y la más alta tecnología; busco que el paciente se sienta satisfecho con su tratamiento y el trato personal que recibió.
Misión
Mejorar la salud bucal de los pacientes brindando un servicio de calidad enfocado a los tratamientos de implantología oral y periodoncia.
Visión
Ser referente por la calidad del trabajo y por el trato humano en los tratamientos de implantología oral y periodoncia en Tepic, Nayarit.
Estudios
2009 Licenciatura en Cirujano Dentista. Universidad Autónoma de Nayarit.
2014 Especialidad en periodoncia. Universidad Autónoma de Guadalajara.
2015 Subespecialidad en implantología Quirúrgica. Universidad Autónoma de Guadalajara
2018 Curso de Regeneración Ósea Vertical
Asistencia a congresos y cursos de actualización continua.
DRA. SAIDA URIBE ROBLES, “Mi prioridad, tu sonrisa.”
¿Qué es un periodoncista?
Un peridoncista es un dentista especializado en el cuidado de la salud de los tejidos de soporte del diente (hueso, encía, ligamento, cemento) y la sustitución de dientes perdidos por medio de implantes dentales. Se encarga de prevenir, diagnosticar y tratar las enfermedades periodontales y periimplantarias: gingivitis, periodontitis y periimplantitis principalmente.
¿Cuándo debo consultar a un periodoncista?
La enfermedad periodontal afecta a millones de personas y es la causa principal de la perdida de piezas dentarias de la población adulta. Si la enfermedad es tratada en sus inicios tendrá un mejor pronóstico, por lo tanto, es importante acudir a cita de revisión con el dentista de manera preventiva o cuando se presenten alguno de los siguientes síntomas:
- Encías inflamadas, enrojecidas y/o sangrantes.
- Sensibilidad dental frente a alimentos fríos o calientes.
- Mal aliento crónico o mal sabor de boca.
- Se observan los dientes más largos.
- Formación de espacios dentales.
- Presenta movilidad dental o dientes flojos.
- Siente dolor o presión al momento de masticar.
- Supuración
Dra. Saida Uribe Robles es especialista en periodoncia, por lo que es tu mejor opción en Tepic, Nayarit.
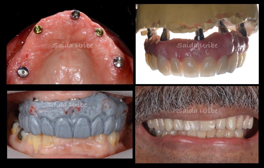
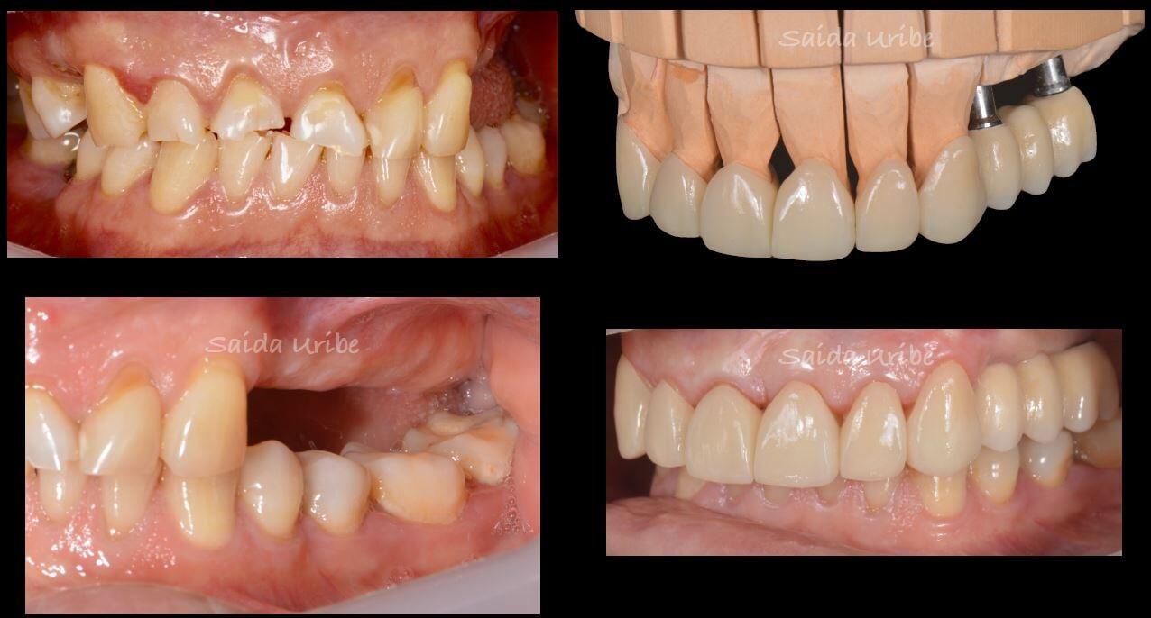
La DRA. SAIDA URIBE ROBLES, como peridoncista se encarga también de la sustitución de piezas dentales perdidas por medio de los implantes.
Un implante dental es una estructura cilíndrica parecida a un tornillo que se coloca quirúrgicamente en el hueso maxilar para sustituir la raíz de un diente. Una vez que el implante se integra al hueso, se fabrica una prótesis a medida que se coloca sobre este.
Los implantes mejoran la estética, la función masticatoria y tienen una tasa de éxito del 98%.
Los implantes pueden reemplazar dientes faltantes en diferentes formas:
Reemplazar un diente
Reemplazar varios dientes contiguos
Reemplazar todos los dientes
Sostener dentaduras removibles

La Dra. Saida Uribe Robles se especializa en:
Limpieza dental
Eliminación de sarro
Raspado radicular (limpieza profunda)
Cirugía periodontal (raspado radicular a colgajo)
Mantenimiento periodontal
Extracción dental
Extracciones complicadas
Cirugía terceros molares
Alargamiento de corona
Gingivectomia
Eliminación de sonrisa gingival (recorte de encía estético)
Injerto óseo
Injerto de encía
Colocación de implantes
Mantenimiento de implantes
Regístrate y obtén información y promociones sobre nuestros servicios
Newsletter
Gracias por suscribirte.
Ups, hubo un error al enviar tu solicitud.
Por favor, inténtelo de nuevo más tarde
Aceptamos las siguientes formas de pago:
AMEX
Cheque
Depósito
Efectivo
Mastercard
Paypal
Transferencia
Vales
Visa
Tarjeta de Crédito
Tarjeta de Débito
Oxxo
SPEI
Claro pay
Samsung pay
CoDi
Apple pay
Baz
Mercado pago
Seven Eleven
Carnet






